
関連施術
目もとスッキリと若々しく。 二重のライン(または予定重瞼ラインのデザイン)に沿って、目頭から目尻を少し超えるところまで切開し、重瞼ラインの下の皮下組織を一部切除した上で、たるんでいる過剰な皮ふを適度に切除しすっきりとした上まぶたにします。

脂肪除去のみの場合、まぶたの重瞼ライン上の外側に2mmほどの切開を加え、脂肪を抜き取っていきます。埋没法も同時に可能です。皮膚切除部分は特に縫合はしません。そのまま軟膏処理のみでも傷痕はきれいに治ります。
切開法重瞼術や眼瞼下垂症手術、アイリフトを同時に行う場合は、同じ創から脂肪除去をしていきます。

生き生きとした目もとに。まつ毛の下2mmのレベルで皮膚切開し、皮膚と眼輪筋をそれぞれ剥離します。直視下に眼輪筋の下にある眼窩脂肪を必要な分のみ除去します。次に眼輪筋を外上方にひきあげます。眼輪筋のゆるみが強い場合は、眼窩外側(目尻の下に触れる骨)に逢着させ、まぶたを引き締めます。最後に余分な皮膚を切除します。
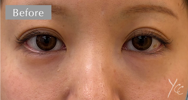
中高年に多いケースとして、目の下のふくらみはなにか皮膚全体がたるみ“ちりめんじわ”を程することがあります。このような場合は皮膚のみを処理していきます。
若い方に多いケースとして、皮膚に張りはあるがふくらみのみを程していることがあります。このような場合は脂肪除去のみを行っていきます。









| 所要時間 | 40分 |
| 通院 | 1回 |
| 痛み | 点眼麻酔と局所麻酔で行います |
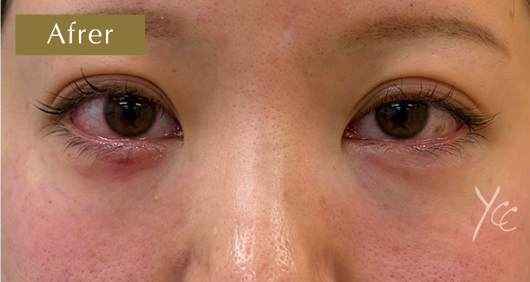
| 腫れ・傷跡・赤み等 | 2週間から4週間でおおまかな腫れが落ち着きます。傷口の赤みは2.3か月かけて次第に落ち着きます |
| 洗顔 | 翌日から可能です |
| シャワー・入浴 | シャワーは患部を避けて当日から入浴は1週間後の抜糸後から可能です |
| メイク | 翌日から可能です。アイメイクは抜糸後翌日から可能です |
| 注意事項 | コンタクトレンズは1週間後から装着可能です。最終的な仕上がりは3か月後です |
術後の赤みや内出血におすすめのコンシーラー
術後の内出血が気になって、手術に踏み切れない方もいらっしゃいますよね。
DTカモフラージュコンシーラーを使用すれば、このように目立つ赤みや内出血もかなり抑えることができます。


※ 表示価格はすべて税込表示となっています。
※ 当院は自由診療のクリニックです。
※ 保険診療は行っておりません。
| 治療内容 | 料金 | |
| 目の上のたるみ取り | ふた重になります | 330,000円 |
| 目の上の脂肪除去 | 220,000円 | |
| たるみ取りとセットの場合 | 110,000円 | |
| 目の下のたるみ除去 | 330,000円 | |
| 目の下の脂肪除去 | 220,000円 | |
| たるみ取りとセットの場合 | 110,000円 | |
| 経結膜脱脂法 | 275,000円 | |
別途薬代と麻酔代がかかります。
関連施術